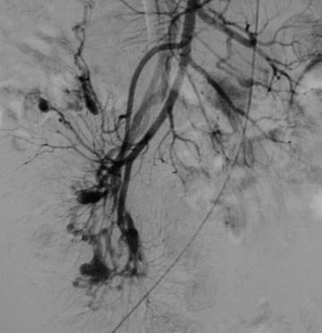
La angiodisplasia es una pequeña malformación que causa la dilatación y fragilidad vascular del colon, dando como resultado una pérdida intermitente de sangre desde el tracto intestinal. Las lesiones son a menudo múltiples e implican con frecuencia el ciego o el colon ascendente, aunque puede darse en otras zonas. Los tratamientos pueden ser intervenciones endoscópicas, medicación u, ocasionalmente, cirugía.
Esta condición está ampliamente relacionada con el envejecimiento y degeneración de los vasos sanguíneos, como ocurre en las personas adultas.
Es una de las causas de hemorragia digestiva baja[1][2] y la principal causa de hemorragia digestiva de origen oscuro.[3][4]
Fisiopatología
Histológicamente, se parece a la telangiectasia y el desarrollo está relacionado con la edad y la tensión en la pared intestinal.[5] Es una lesión degenerativa, adquirida, probablemente como resultado de una contracción crónica e intermitente del colon que obstruye el drenaje venoso de la mucosa. A medida que pasa el tiempo, las venas se vuelven cada vez más tortuosas, mientras que los capilares de la mucosa se dilatan gradualmente y el esfínter precapilar se vuelve incompetente. Así se forma una malformación arteriovenosa caracterizada por un pequeño penacho de vasos dilatados.[6]
Aunque la angiodisplasia es probablemente bastante común, el riesgo de hemorragia aumenta en los trastornos de la coagulación . Una asociación clásica es el síndrome de Heyde (coincidencia de estenosis de la válvula aórtica y sangrado por angiodisplasia).[7] En este trastorno, el factor de von Willebrand (vWF) se proteoliza debido al alto esfuerzo cortante en el flujo sanguíneo altamente turbulento alrededor de la válvula aórtica. El vWF es más activo en los lechos vasculares con alto esfuerzo cortante, incluidas las angiodisplasias, y la deficiencia de vWF aumenta el riesgo de hemorragia por tales lesiones. Warkentin y col. argumentan que, además de la estenosis de la válvula aórtica , algunas otras afecciones que presentan un alto esfuerzo cortante también podrían aumentar el riesgo de hemorragia por angiodisplasia.
Referencias


